잠원동 치과교정치료중 어금니치경농주머니 치근단절제술 완치후기를 공개합니다

안녕하세요 잠원동치과 봄치과의원 치과보존과 전문의 김지아입니다.

미세현미경 치근단절제술 후 기존 신경치료/재신경치료 후에도 염증병소가 재발할 수 있습니다. 신경관계의 해부학적 구조 때문에 신경치료 성공률은 40~70%로 보고되었습니다.(재신경치료 성공률은 그 절반 정도로 떨어지지만) 치근단 절제술이 가능한 경우라면 가장 높은 확률로 치아를 살려서 사용할 수 있습니다.(아래 칼럼을 참고하시기 바랍니다.) 미세현미경 치근단절제술이 가능한 경우는 치근끝에 염증이 생긴 경우로 갈라지거나 파절된 경우는 예외입니다.

[봄치과 tv] 치근단절제술이 가능한 경우 과정, 비용 총정리 안녕하세요 치과보존과 전문의 김지아입니다. 치근단절제술은 외과적 수술로 우선 신경치료/재신경치…blog.naver.com

[봄치과 tv] 치근단절제술이 가능한 경우 과정, 비용 총정리 안녕하세요 치과보존과 전문의 김지아입니다. 치근단절제술은 외과적 수술로 우선 신경치료/재신경치…blog.naver.com

[봄치과 tv] 치근단절제술이 가능한 경우 과정, 비용 총정리 안녕하세요 치과보존과 전문의 김지아입니다. 치근단절제술은 외과적 수술로 우선 신경치료/재신경치…blog.naver.com

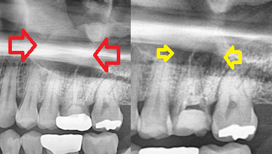
교정치료 중인데 어금니 농낭이 생겨서 계속 재발해서 치료를 위해 의뢰해 주셨습니다. 기존에 신경 치료나 재신경 치료 후에도 병소가 계속 재발하고 있습니다. 1. 왼쪽 아래 어금니 잇몸 농포 2. 기존 신경치료는 잘 되어 있다(<-신경치료/재신경치료 후에도 병소가 계속 재발한다) 3. 걱정치근 쪽에 병소가 생기는 교정치료는 6개월 이상 남아 있어 발치를 원치 않는 상황이었습니다.

농낭의 명확한 원인을 파악하기 위해 gp컨트레이싱을 합니다.확실히 걱정되는 치근 쪽에 들어 있는 것이 확인됩니다.

3d-ct 상에서도 걱정근관의 염증병소가 확인됩니다.이렇게 신경치료/재신경치료 후에도 병소가 재발할 수 있습니다.기존 치료와는 관계없이 치아 신경의 해부학적 구조와 관련이 있습니다.

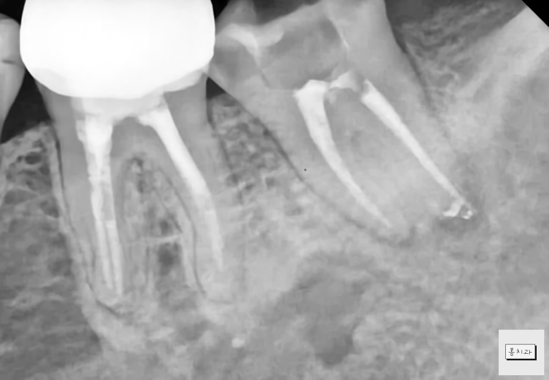
치근 끝이 보이지 않는 미세구조(미세연결/부근관 등)는 신경치료 성공률을 떨어뜨리는 요인이 됩니다. 치근단 절제술을 통해 이러한 염증의 원인이 되는 치아 구조를 절제하고 mta로 밀폐합니다.

수술 시 걱정 치근을 둘러싼 염증 조직을 충분히 제거했습니다. 염증의 원인이 되는 치근을 절제한 후 밀폐가 쉬운 생체 친화성 시멘트인 mta로 충전했습니다.

술 먹고 한 달 뒤에요.

6개월 후입니다. 완전히 병소가 치유되고 건전한 뼈로 치유된 것으로 확인됩니다.(모든 임상 사진은 환자의 포괄적 동의하에 사용됩니다)오 항상 교정 치료 중인 어금니에 잇몸 농낭이 생겨 의뢰받았고 치근단 절제술로 완치된 리뷰에 대해 게시해 보았습니다. 잇몸농포, 어금니 재치료, 어금니 치근단절제술에 대해 궁금한 사항은 문의주세요 저/범치과 대표원장 김지아 * 이글과 함께 읽어보면 좋은 칼럼*<잠원동치과 미세현미경 치근단절제술 리뷰를 공개합니다>서초치과 미세현미경 치근단절제술 리뷰를 공개합니다 안녕하세요 서초치과봄치과의원 치과보존과 전문의 김지아입니다. 블로그의 모든 글은 대표원장인 제가 직접… blog.naver.com<잠원동 치과 발치 판정 전 치아 확실한 치료를 원한다면 필독>서초치과 발치 판정 전이므로 확실한 치료를 원하시면 필독 안녕하세요 서초치과봄치과의원 치과보존과 전문의 대표원장 김지아입니다. 블로그의 모든 글은 대표원장이다…blog.naver.com서초치과 발치 판정 전이므로 확실한 치료를 원하시면 필독 안녕하세요 서초치과봄치과의원 치과보존과 전문의 대표원장 김지아입니다. 블로그의 모든 글은 대표원장이다…blog.naver.com서초치과 발치 판정 전이므로 확실한 치료를 원하시면 필독 안녕하세요 서초치과봄치과의원 치과보존과 전문의 대표원장 김지아입니다. 블로그의 모든 글은 대표원장이다…blog.naver.com범치과의원 서울특별시 서초구 신반포로 177 반포쇼핑타운 3동 3층 310호범치과의원 서울특별시 서초구 신반포로 177 반포쇼핑타운 3동 3층 310호범치과의원 대표전화 02.537.6124범치과의원 대표전화 02.537.6124범치과의원 대표전화 02.537.6124